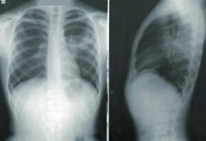
Røntgenundersøgelse

01 October 2024 admin
image

More articles